Gallery

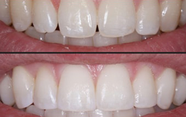
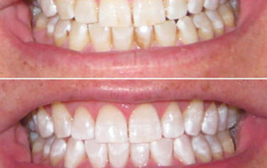
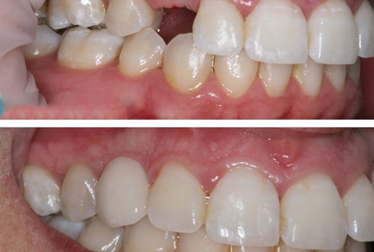
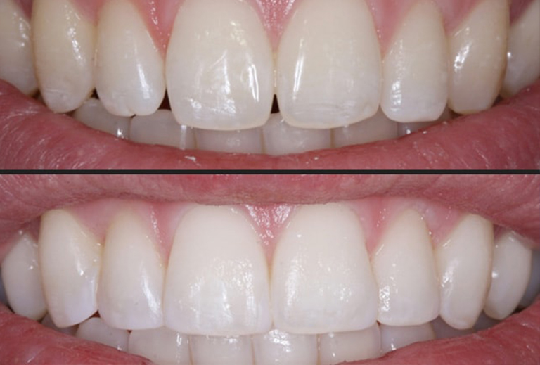
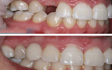
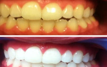
Before & After Dental Treatment

See the transformative results at Srinidhi Multi Speciality Dental Hospital in Vijayawada! Our before and after dental treatment photos showcase the exceptional care and expertise of our team. Experience your own dental transformation by scheduling a consultation today at https://www.srinidhidental.in/ or call 0866-2537788.

© Srinidhi Dental Hospital || All Rights Reserved.